由于医疗检查手段的进步和广泛应用,血管瘤一词逐步被大家所熟悉。比如做B超检查时发现肝里有个血管瘤、做CT检查时发现脖子里有个血管瘤、做核磁检查时发现脑子里有个血管瘤等等。当你一听到医生说你身体里有个血管瘤时,立刻就紧张起来、不安起来、苦恼起来,因为可能你听说了周围的人群里有过“血管瘤突然出血而亡”的事件发生过。其实,了解了血管瘤的基本知识,知道如何对待,血管瘤也就不可怕了。
一. 血管瘤本质上不是肿瘤
我们都知道人体有个循环系统,负责把血液从心脏打出到动脉,分布到全身的每一个角落,细分成毛细血管,让血液中的营养分发给每一个细胞,然后汇集到静脉回到心脏。这样一来,人体的血管就可以分为:动脉、毛细血管、静脉3个不同的血管结构。

图1 人体的血管

图2 动脉 毛细血管 静脉的关系示意图
二. 血管瘤本质是结构紊乱
生物学上所谓的肿瘤,应该是细胞过度增生(主要是数目增加)形成了“多余”的细胞团块,比如脂肪瘤是由过多的脂肪细胞组成,纤维瘤是由过多的纤维细胞组成。血管瘤看起来或摸上去象多余的一块肉团,却是由于一嘟噜紊乱的血管堆积而成(不是一种细胞),所以,本质上人们叫它“血管瘤”,却是一种杂乱血管团,生物学上叫“错构”,或者叫“畸形”。在名称上主要取决于这个杂乱的血管团主要由什么样的血管为主而命名,比如以静脉血管为主就叫做静脉性血管瘤、以毛细血管为主就叫做毛细血管性血管瘤、以动脉血管为主就叫做动脉性血管瘤。有的是以杂乱血管团中管腔的形状命名,比如管腔大小均匀看上去象海绵结构时叫海绵状血管瘤、如果是动脉管壁局部鼓突出来,犹如坑道中开挖了一个“猫耳洞”时叫动脉瘤,如果是动脉管壁中间被血液灌进来将管壁分开,犹如墙壁里多了个夹层时叫做夹层动脉瘤。

图3 动脉性血管瘤

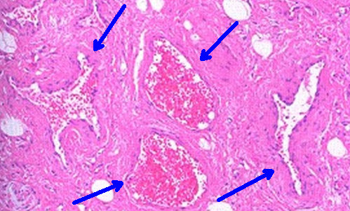
图4 静脉性血管瘤

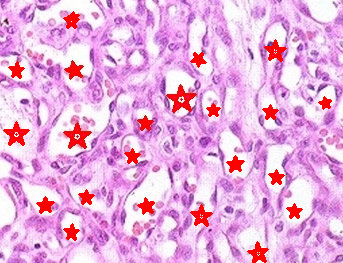
图5 毛细血管瘤
三. 血管瘤只要不破就无妨 脑动脉瘤破裂出血是最严重的情况
人体内任何部位都可以出现血管的畸形,也就是人们常称之为的血管瘤。由于血管瘤本质上不是肿瘤,因此,对于身体是没有伤害的。需要不需要对血管瘤进行医学上的处理(医治),主要取决于血管畸形的大小、部位、发展速度等。
绝大多数血管瘤是没有任何感觉的,都是在体检时无意中发现的。比如肝脏的血管瘤、脾脏的血管瘤、皮肤肌肉的血管瘤等。只有当血管瘤不停地长大,大多到10多厘米才有感觉。医治这样的血管瘤只要切除或堵塞掉也就等于痊愈了。
只有当血管瘤出现在重要部位时,才需要认真对待。比如脑子中的动脉瘤,虽然可以很小(1厘米以内),但一旦发生破裂,就会突然出血在脑子内,叫做脑动脉瘤破裂出血,这时是可以突然头痛、昏迷、死亡的。遇到这样的急症,如果医院就在附近,可以立刻开刀,把出血堵住,还是有恢复的可能。

图6 脑内动脉瘤

图7 动脉瘤破裂出血

图8 出血积聚在脑内
还有一个叫血管瘤名称的也是十分致命的,就是夹层动脉瘤。这样的动脉瘤主要发生在动脉管壁本身有毛病后,管腔内的血液一旦从管壁内面的破口冲入管壁内的夹层中积聚,就生成的夹层瘤。

图9 夹层动脉瘤示意图
由于动脉内的压力大,夹层的血管壁既薄又脆弱,随时都有可能破裂。一旦破开,动脉内的血液瞬间(几秒十几秒)就可以冲出破口,人体立刻失去足够的血量而死亡。这样的情形即使在医院里也来不及抢救的。
总之,血管瘤很常见。了解它的基本要点,就不会因为有了血管瘤而忧心忡忡,也不能对于可以引起严重后果的血管瘤满不在乎。正确对待自己体内的血管瘤,采取明智的方法,才是可取的。
纪小龙,著名病理学家,从医40余年。原解放军总医院、武警总医院教授与主任医师。