当医生四十多年了,我真切的感觉到现在很多疾病在诊断和治疗上,已经发生了明显的变化,虽然变化是必然的,其中多数变化是有益于人们就医的,但是,也有一些是让人担心和不安的,确切的说是发生了很多疾病过诊断和过治疗的例子。就妇女常见病范畴来说,主要有以下几个:
慢性宫颈炎(宫颈糜烂)与宫颈癌
HPV感染与宫颈癌
功血(功能性子宫出血)与子宫内膜癌
子宫肌瘤的良性与恶性变(平滑肌肉瘤)
卵巢囊肿与卵巢癌
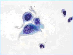
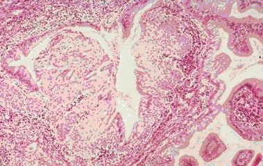
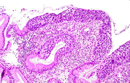
举例来说,慢性宫颈炎(宫颈糜烂)与宫颈癌在妇科阴道镜检查时观察到的表现可以相似。行宫颈刮片的细胞检查时看到的也可以相似(图1、2)。最后采取组织行病理切片检查,也是有相似之处,不是容易做出100%鉴别的(图3、4)。这样看来,如果仅一次检查(或一家医院检查),就肯定是癌,而行手术切除,是不慎重的,错误率是高的。最好是如果要手术切除,应到第二家医院或第二个医生核实后进行下一步治疗。

图1 宫颈炎看到的细胞

图2 宫颈癌看到的细胞

图3 宫颈炎看到的切片

图4 宫颈癌时看到的切片
再例如,人乳头状瘤病毒(human papillioma virus,HPV)感染后,宫颈的外观、刮片细胞检查、活检病理切片检查,都会出现宫颈癌一样的表现,很容易把HPV感染当成宫颈癌而行手术治疗。
妇女还有一种常见病叫“功血”(全名为功能性子宫出血),即由于内分泌紊乱导致子宫内膜不规则增生和脱落,出现月经不止,反复出血。此时,超声检查可以看到子宫内膜不规整、厚薄不均、局部凸起,刮宫标本送病理切片检查可以看到腺体的过度增生,细胞形态异常等,这些也都可以与子宫内膜癌相似而误为子宫内膜癌行手术切除。
子宫肌瘤在50%的成年女性都可以出现,99%以上都是良性的。如果没有症状或并发症是可以定期复查观察的。而现在,那么多的病例因为子宫肌瘤而手术切除了子宫,原因是“害怕恶性变(即平滑肌肉瘤)。其实,只要肌瘤不长大、不发展,到一定大小后,生长就会停止。
倒是卵巢的病变,人们关注的不多,重视的不够。人们常常听说过:“卵巢囊肿”的名称,总以为,囊肿是良性的,不碍事的。其实,在没有切除之前,任何检查方法只能发现病灶的大小、形状、内容是实性还是囊性,至于病灶是良性?恶性?只有切除后切片检查才能确定。看到那么多病例,由于相信“囊肿”,认为是良性,不及时手术,等到瘤灶增大,发生恶性变,再手术已经来不及了。所以,对于卵巢来说,要警惕卵巢癌的出现,一旦卵巢发现肿瘤,及时手术为好。
那么到底是什么原因导致了现在的情况?分析起来主要有以下几点影响因素:
首先,由于人民生活水平的提高,基本解决了吃饭穿衣的问题,人们开始关注健康了,健康意识、健康观念和以往大大提高。人们在没有疾病发生的时候就知道进行预防性检查,或叫筛查,或叫体检了,这样一来就医率就大大增高了,自然产生了很多“患者”。这是第一个背景。效果有好有坏,所以好多病以前很少见的现在也多见了。
其次,是由于医学进步,医学对疾病的认识也发生了变化,比如说对HPV导致宫颈癌在二十年前是不知道的,现在却已经发现了一百多亚型,哪些和宫颈癌有关,哪些和皮肤增生有关(在皮肤感染后叫瘊子——疣)等等已经研究的很多了,这是医学的进步。
第三,是由于检查手段的提高或叫改进,最明显的是超声的出现,以前要检查你的宫内膜、肌壁有多厚,有无平滑肌瘤都很难,因为隔着肚皮,小的你摸不到,只有长到几公分你才能摸到,而现在只要拿探头在病人的腹部一放,就可以精确地看到子宫内膜厚不厚,子宫壁有多宽,有无肌瘤,肌瘤有多少个,大小是多少,这些都很清楚的显示出来,而且精确度达到几毫米,这在二十多年前是根本无法做到的。
第四,是由于社会的发展,改变了人们的观念,观念的改变导致了人们行为的改变。在二十年前我们说HPV感染导致的皮肤“瘊子”,医学上叫做“疣”的,还有会阴部的“湿疣”,主要是发生在截瘫的病人,因为HPV感染繁殖需要一定的温度和湿度的条件,而这样的病人由于大小便失禁,无疑成为了最佳的感染人群。而现在HPV感染在人群中已经相当普遍,并且随着性接触的增多导致的疾病的传播范围越来越广,速度也越来越快。
第五、好多疾病的检查工作不是在正规的医院里进行,而是在一些非医院,而且是在那些盈利性医院里就可以进行,尤其是一些妇科的检查是在公司的行为下去运作的,并不能称为严格的医疗行为。随着检查地点、途径的增多,检查范围的扩大,就出现了大批的我们所说的医学上的过诊断,即“over diagnosis ”,过诊断的结果必然就是过治疗。
第六、由于医院的变化,医院和二十年前也不一样了,现在的医院追求的是收入的增高,刺激的方法是医生的奖金直接和他们的医疗收入成正比,这就使得医生也主观的扩大了诊断和治疗的范围。
妇女常见病,如此多名堂!
纪小龙,著名病理学家,从医40余年。原解放军总医院、武警总医院教授与主任医师。